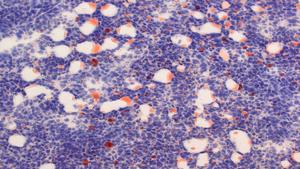
photo: In computer mice with pancreatic as well as colon cancer cells, keto diet plans slow down the development of growths, seen below in white, by a procedure called ferroptosis. This eliminates the cancer cells by triggering a deadly build-up of poisonous fatty particles, tarnished red.
sight a lot more
Credit scores: Janowitz lab/Cold Springtime Harbor Lab
Dietitians claim a keto diet plan can assist you shed approximately 10% of your body weight. These high-fat, low-carb dish strategies fool the body right into melting its very own fat. They can additionally assist deal with a selection of cancers cells by depriving growths of the sugar they require to expand. Externally, this appears suitable. Yet research study recommends these diet plans might have a lethal, unexpected adverse effects for cancer cells clients.
In computer mice with pancreatic as well as colon cancer cells, keto speeds up a deadly squandering illness called cachexia. People as well as computer mice with cachexia experience anorexia nervosa, severe weight management, tiredness, as well as immune reductions. The illness has no efficient therapy as well as adds to around 2 million fatalities annually.
” Cachexia arises from an injury that does not recover,” Cold Springtime Harbor Lab (CSHL) Aide Teacher Tobias Janowitz states. “It’s really typical in clients with modern cancer cells. They end up being so weak they can no more deal with anti-cancer therapy. Daily jobs end up being Huge labors.”
Janowitz as well as CSHL Postdoc Miriam Ferrer are functioning to separation keto’s cancer-fighting take advantage of its deadly adverse effects. They discovered pairing keto with typical medicines called corticosteroids stopped cachexia in computer mice with cancer cells. Their growths reduced as well as the computer mice lived much longer.
” Healthy and balanced computer mice additionally drop weight on keto, yet their metabolic rate adapts as well as they plateau,” Janowitz describes. “Computer mice with cancer cells can not adjust, due to the fact that they can not make sufficient of a hormonal agent called corticosterone that aids control keto’s results. They do not quit reducing weight.”
Keto creates poisonous lipid by-products to build up in as well as eliminate cancer cells by a procedure called ferroptosis. This slows down lump development yet additionally creates early-onset cachexia. When scientists changed the diminished hormonal agent with a corticosteroid, keto still reduced growths yet really did not start cachexia.
” Cancer cells is a whole-body illness. It reprograms typical organic procedures to assist it expand,” Ferrer states. “Due to this reprogramming, computer mice can not utilize the nutrients from a keto diet plan, as well as run out. Yet with the steroid, they did better. They lived longer than with any kind of various other therapy we attempted.”
Janowitz as well as Ferrer become part of a global Cancer cells Grand Obstacles initiative tackling cancer cells cachexia. They lately released an reliable review of the problem. The group is currently functioning to tweak corticosteroid timing as well as dose to expand the home window for efficient cancer cells treatments in mix with keto.
” We intend to press back versus cancer cells also harder, so it expands slower still,” Janowitz states. “If we can widen this result, make the therapy a lot more reliable, we can inevitably profit clients as well as boost cancer cells therapies.”
Write-up Title
Ketogenic diet plan advertises lump ferroptosis yet causes loved one corticosterone shortage that speeds up cachexia
Write-up Magazine Day
12-Jun-2023
Please Note: AAAS as well as EurekAlert! are exempt for the precision of press release published to EurekAlert! by adding establishments or for making use of any kind of info with the EurekAlert system.
































